
2025 DHMD Slideshow
CSHL has celebrated scientists and science advocates at the Double Helix Medals Dinner for 20 years. Watch the video »

CSHL has celebrated scientists and science advocates at the Double Helix Medals Dinner for 20 years. Watch the video »

News
The core facility received a 2025 regional National Disability Employment Awareness Month (NDEAM) award. Read the story »

News
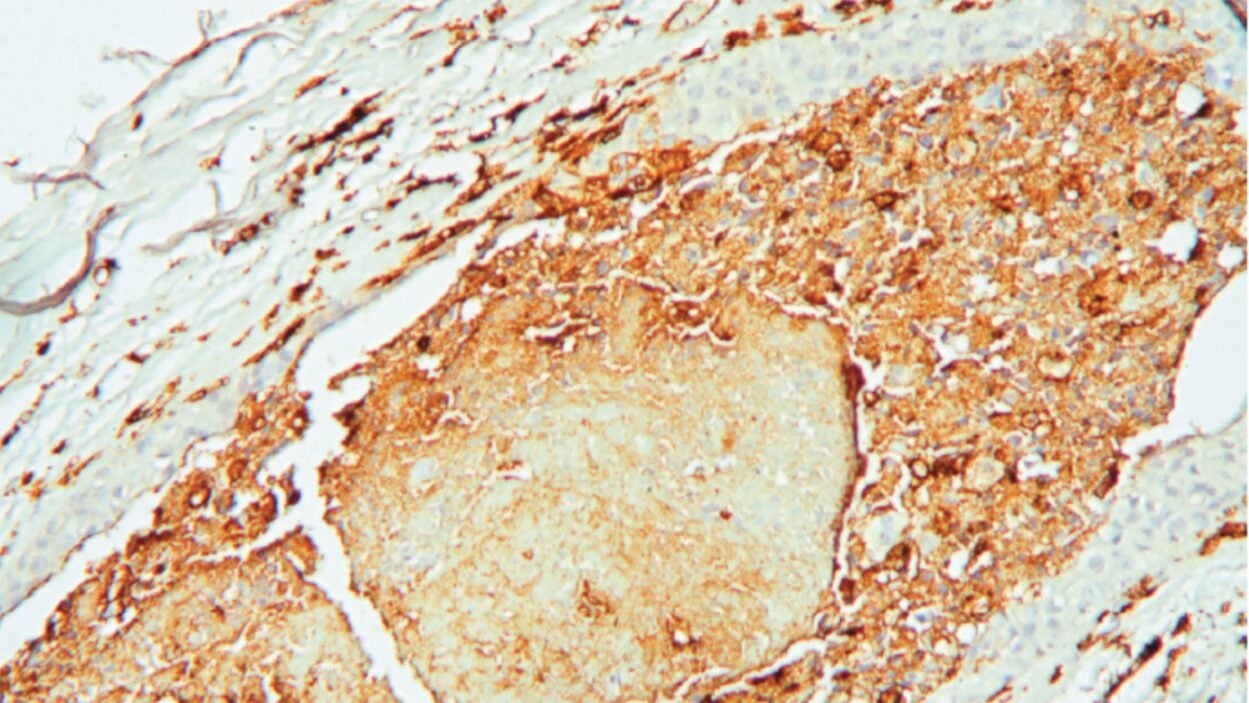
New research from CSHL’s Vakoc lab helps explain the bizarre behavior of certain pancreatic cancers and lung cancers that can change identities. Read the story »

News
The 20th annual gala honored tennis legends Chris Evert and Martina Navratilova and revolutionary biotechnologist Dr. Robert Langer. Read the story »

CSHL NeuroAI Scholars Kyle Daruwalla and Christian Pehle don’t see so-called “artificial general intelligence” anywhere on the horizon. Here’s why. Listen to the podcast »

Peter Westcott begins the latest installment in our Cocktails & Chromosomes series with an inspirational quote from Oscar the Grouch. Watch the video »

Feature
Could 60 be the new 40? At Cold Spring Harbor Laboratory, cellular biologist Corina Amor Vegas’ research rewinds the clock on health and disease. Read the story »

News
The prestigious group counts among its ranks Sir Salman Rushdie and three Nobel laureates, all with a background in chemistry. Read the story »

Feature
How a 12-acre research station is inspiring innovations needed to feed and fuel the world far into the future. Read the story »

News
CSHL researchers examined tissue samples from a 59-year-old woman diagnosed with stage 1 triple-negative breast cancer. Read the story »

News
Jim Watson made many contributions to science, education, public service, and especially Cold Spring Harbor Laboratory (CSHL). Read the story »

The science is complex. The stakes are high. And the urgency is immediate. Listen to the podcast »

News
The $75,000 grant supports her lab’s cutting-edge research on the role of nuclear speckles in kidney and renal pelvic cancers. Read the story »

News
Crotty succeeds founder John Inglis, who has led CSHL Press since 1987. Read the story »

News
New findings from CSHL's Furukawa lab could have implications for treating strokes and neurodegenerative conditions like Alzheimer’s disease. Read the story »

News
In 2014, the Martienssen lab discovered that the Dicer protein helps protect the genome in humans and yeast. Now, they’ve figured out how. Read the story »

News
On October 20, Cold Spring Harbor Laboratory hosted an inspiring discussion between an award-winning podcaster and a justice reform advocate. Read the story »

CSHL Professor David Spector discusses some of his lab’s latest research and the partnership making it possible. Listen to the podcast »

News
“We’re not curing cancer, but we’re forcing it into an avenue that we’re good at, which is targeting it with hormone therapies.” Read the story »

News
The award recognizes CSHL’s role as an economic engine and beacon of discovery, innovation, and community development. Read the story »

Feature
Decades of diligent research and a measured approach have led CSHL Professor Lloyd Trotman from a new mouse model to breakthroughs in men’s health. Read the story »

CSHL Professor Alexei Koulakov talks synesthesia, shipwrecks, and the most underappreciated of our five senses. Watch the video »

Feature
The answers can be found in fundamental biology breakthroughs made nearly 50 years ago. Today, they’re pointing toward a new generation of treatments. Read the story »

News
The award supports Alexander's cutting-edge research on the role of nuclear speckles in gene regulation and disease. Read the story »

News
As the annual CSHL volleyball league ends, only one team can reign supreme. Read the story »

News
Three grad students at CSHL have developed a new tool to study changes in mouse mammary glands. It may one day allow for earlier cancer diagnoses. Read the story »

News
The Raft Race is an annual showcase of the CSHL community’s creative, ingenious, and competitive spirit. Read the story »

News
Amor Vegas was recognized for pioneering research on senescence and immune response, which may lead to new treatments for aging-related conditions. Read the story »

Cold Spring Harbor Laboratory has been part of Kristin Olson Smith’s story since she and her family moved to Banbury Lane in 1990. Read the story »

News
The CSHL scientist is on one of 12 teams chosen from a pool of 227. Next March, seven teams will be selected to receive over $20 million in funding. Read the story »

News
A tumor is not just a tumor. It’s a complex ecosystem scientists unpacked at the CSHL meeting, Biology of Cancer: Microenvironment & Metastasis. Read the story »

News
CSHL neuroscientists, current and former, contributed to two major brain-mapping studies recently published in Nature and featured on CNN. Read the story »

Time loops, babies with beards, and biology's favorite worm. CSHL Professor Christopher Hammel explores all these phenomena and more. Watch the video »

News
CSHL Professor David Jackson says his lab’s discovery “could guide research for the next decade.” Corn growers may also want to take notice. Read the story »

News
The 1975 Nobel laureate and renowned molecular biologist was the first member of CSHL’s Undergraduate Research Program and a frequent return visitor. Read the story »

News
Group arts and crafts projects provide the Joshua-Tor lab a fun and memorable way to recognize its graduate students. Read the story »

What does genome engineering mean for the future of science and medicine? See how CSHL’s meeting helps inspire curiosity, discovery, and innovation. Watch the video »

News
Torres’ talk highlights the important role of the CSHL Archives in preserving the history of genetics research on Long Island. Read the story »

News
In a new essay on cachexia, published in Neuron, CSHL’s Tobias Janowitz makes an impassioned plea to all scientists—listen to patients carefully. Read the story »

News
"Phil’s piece is more than a visual gift—it is a thoughtful expression of our mission to make life better through science,” says CSHL President Bruce Stillman Read the story »

News
Inglis and Sever earned the award for their critical role in establishing the preprint servers bioRxiv and medRxiv. Read the story »

Grit, determination, camaraderie—these aren’t confined to the lab. They're on full display in the 2025 CSHL Plate Race. Watch the video »

Feature
The discovery of the hormone ACTH didn’t just help cure Addison’s disease. It led to some of the most commonly prescribed medicines we have today. Read the story »

Feature
For World Breast Cancer Research Day, see how CSHL scientists are leading the charge against this all-too-common disease. Read the story »

Her research on glioblastoma was published in Nature and featured on ABC. Now, hear about her lab’s latest advances and high-impact collaborations. Watch the video »

News
On the heels of the first personalized CRISPR-based therapy, CSHL’s Genome Engineering: CRISPR Frontiers meeting celebrates its 10th anniversary. Read the story »

News
CSHL’s Moses lab uses a technique called click chemistry to create new, nature-based compounds that could one day be used in the clinic. Read the story »

The Monti Foundation is supporting Dr. Lingbo Zhang's work in myelodysplastic syndrome (MDS) and has supported CSHL cancer research for nearly 20 years. Read the story »

For Spinal Muscular Atrophy Awareness Month, test your knowledge of CSHL’s lifesaving SMA and RNA therapeutics research. Take the quiz »

Feature
It’s SMA Awareness Month! See how CSHL’s fundamental biology research helped lead to the first successful treatment, and what's happened since. Read the story »

Blog
Unearth the story behind one of CSHL’s most impressive sculptures, rust and all. Read the story »

News
For some, the Barcode Long Island Student Symposium isn’t just the culmination of a research project but the start of a lifelong journey in science. Read the story »

The CSHL community came together to put the final beam in place on a new Artificial Intelligence and Quantitative Biology building. Watch the video »

News
How do we begin? Drawing from decades of research, CSHL President Bruce Stillman and colleagues offer a new lens to answer this fundamental question. Read the story »

News
A new AI model developed by CSHL quantitative biologists could help improve immunotherapy treatments “not only for cancer, but all human illnesses.” Read the story »

Come along as we take a trip inside bird nests, bee hives, and even cell mitochondria. Watch the video »

Feature
Over the last year, CSHL has made many key discoveries in brain development and neurological conditions, from autism to Alzheimer’s disease. Read the story »

News
The inaugural meeting brings together leading brain cancer researchers and clinicians to discuss the latest in the fight against these deadly diseases. Read the story »

News
Krainer is recognized for his lifesaving research on mRNA splicing and RNA therapeutics. Read the story »

News
How do we identify early warning signs of the genetic disease? A newly formed task force confronted this question at CSHL’s Banbury Center think tank. Read the story »

Robert Cummings remembers his mother, whose name continues to inspire curiosity, discovery, and innovation almost 50 years after her untimely death. Watch the video »

News
Skanska and Cold Spring Harbor Laboratory today celebrated the topping out of the Artificial Intelligence and Quantitative Biology (AIQB) building at CSHL. Read the story »

News
Why are some vines straight and others branched? CSHL’s answer could help scientists fine-tune plant breeding techniques and clinical therapeutics. Read the story »

Hear about the future of science and literature from some of the creative minds who are making it happen. Watch the video »

These zombies have more to say than just “brains.” Let's see what they might tell us about the secrets of youth, rejuvenation, health, and disease. Watch the video »

News
There’s no effective treatment for the deadly disease. A discovery by CSHL Professor David Spector and grad student Wenbo Xu could point to the first. Read the story »

News
Despite a rainy forecast, the event honoring CSHL Association Director Errol Kitt brought out more than 300 golfers and supporters. Read the story »

Blog
It’s not just any gazebo—it’s a meeting place, a scenic overlook, and a monument to CSHL’s decades of revolutionary genetics research. Read the story »

Get a guided tour of the world’s first hands-on cancer neuroscience course, and meet the scientists pioneering this new field of research. Watch the video »

News
The CSHL neuroscientist will receive $225,000 over three years for his lab's studies of the neural mechanisms underlying vocal communication. Read the story »

Imagine everything you learned about DNA wasn’t quite wrong, but was only a fraction of the truth. Now, get more of the whole story. Watch the video »

News
Researchers reveal the first 3D structures of the kinase FN3K in different states, which may inform future therapeutics for a variety of cancers. Read the story »

News
After gathering at Cold Spring Harbor Laboratory’s Banbury Center, the field’s leading minds issue a rallying cry heard across biology and medicine. Read the story »

Look behind the scenes at the 89th CSHL Symposium and see some of science’s most brilliant minds share their insights on aging and senescence. Watch the video »

Ever go to a neuroscience talk and wish it had more sound effects? Then this is the episode for you. Listen to the podcast »

News
We recap the 89th Cold Spring Harbor Laboratory Symposium on Quantitative Biology, which, for the first time, focused on aging and senescence. Read the story »

News
The Cosmopolitan Club hosts an inspiring event featuring CSHL Professor Alea Mills and Dr. John Boockvar of Netflix’s Lenox Hill and Emergency NYC. Read the story »

You’ve seen her on FOX and the cover of Newsday. Now, hear about the knowledge gaps that make her discovery so crucial and the noble goals driving it. Listen to the podcast »

Feature
With public research funding under threat in the U.S., CSHL President Bruce Stillman outlines the stakes for people in our communities and abroad. Read the story »

Blog
You need an electron microscope to see the birth of a protein anywhere else. At CSHL, it’s a short walk from Grace Auditorium—no microscope required. Read the story »

News
CSHL quantitative biologists have developed a unified theory that could have countless applications, from plant breeding to drug discovery. Read the story »

There’s a Microprocessor inside you. Actually, there are trillions. Only they’re not computer processors. They’re much smaller and far more complex. Listen to the podcast »

What are the core differences between AI and human intelligence? CSHL postdoc Ari Benjamin pulls back the curtain on today’s large language models. Watch the video »

CSHL neuroscientists discuss the biological brain’s multibillion-year advantage over AI—and the new algorithm they built based on that concept. Listen to the podcast »

Feature
At CSHL, the foundations for the future of bioscience are built on energy efficiency and environmental stewardship. What does that look like? Read the story »

Blog
Graduate student Lucía Téllez Pérez reflects on her experience attending the recent CSHL meeting Cancer Genetics: History & Consequences. Read the story »

Why do breast cancer researchers focused on pregnancy start looking into urinary tract infections? The backstory is as intriguing as the story itself. Listen to the podcast »

News
Cold Spring Harbor Laboratory will host its 20th annual Double Helix Medals dinner on November 19 at the American Museum of Natural History. Read the story »

News
Sever is recognized for his leading role in establishing the independent, nonprofit openRxiv to ensure fast and free science communication worldwide. Read the story »

Feature
James L. Manley is the Julian Clarence Levi Professor of Life Sciences at Columbia University and a leading expert in eukaryotic gene expression. Read the story »

News
The CSHL School of Biological Sciences conferred nine Ph.D.s and one honorary Doctor of Science degree during its 22nd commencement ceremony. Read the story »

Speckles sound innocent enough, like little spots. But don’t be fooled. These tiny structures could someday have big implications for cancer care. Listen to the podcast »

Feature
The School of Biological Sciences awarded Ph.D. degrees to nine students this year. Read some of their stories and reflections on their time at CSHL. Read the story »

News
EndoFound partners with CSHL to open the Seckin Endometriosis Research Center for Women’s Health at Cold Spring Harbor Laboratory. Read the story »

What happens to our brain receptors’ “dance routines” when the brain comes under immune system attack? Tune in to find out. Listen to the podcast »

News
The Welshman immigrated to the U.S. in 2020. He uses a revolutionary process called click chemistry to identify and test potential cancer treatments. Read the story »

News
Long Island Arboricultural Association volunteers gave CSHL and its historic 120-acre campus a spring refresh just in time for Arbor Day. Read the story »

You may have read about their fascinating research in

Feature
From March 26–29, CSHL’s Center for Humanities and History of Modern Biology hosted Cancer Genetics: History & Consequences. Read the story »

Hear from some of the field’s leading voices, including Mary-Claire King, Brian Druker, Stephen Elledge, and Nobel Prize winner Carol Greider. Watch the video »

News
The CSHL Library & Archives leader was recognized for her efforts to promote humanistic understandings of modern biology and medicine. Read the story »

You can’t spell evolution without l-o-v-e. A tale of passion and curiosity takes us from New York to Australia, France, the U.K., and South America. Listen to the podcast »

News
CSHL Associate Professor Tobias Janowitz and colleagues discover the brain-body connection underlying apathy in the late stages of cancer. Read the story »

How do estrogen and testosterone influence mood, behavior, and health? CSHL neuroscientist Jessica Tollkuhn breaks it down for viewers young and old. Watch the video »

For the Season 2 premiere of our podcast, we sit down with CSHL Professor Lloyd Trotman to discuss what could be a major breakthrough in men’s health. Listen to the podcast »

News
By the time it’s diagnosed, it’s often too late. Now, Cold Spring Harbor Laboratory researchers have found a way to intercept the deadly disease. Read the story »

News
Duckweed can grow practically anywhere there’s sun and standing water. CSHL plant biologists identify the genes behind some of its most useful traits. Read the story »

News
Support from the Pershing Square Foundation empowers the CSHL neuroscientist to take a bold, new view of Alzheimer’s disease. Read the story »

CSHL School of Biological Sciences alumni look back on how their experiences prepared them for success in research, academia, and industry. Watch the video »

Ready to think differently about how you see, smell, hear, taste, touch, and make sense of the world around you? Take the quiz »

News
How does one study the nervous system’s influence on cancer? They come to CSHL. The field is so new there hasn’t been any formal training—until now. Read the story »

What are nuclear speckles and how might these mysterious structures impact your DNA? Get an inside look from CSHL Assistant Professor Kate Alexander. Watch the video »

News
The donation, made possible by the National Academy of Sciences, supports Zarmeena Dawood, a neuroscientist and M.D.-Ph.D. student in the Albeanu lab. Read the story »

Feature
How does the brain turn sensory information into world-building neural responses? New answers could open the door to AI-powered therapeutics. Read the story »

Blog
Affordable, nearby, off-campus housing ensures CSHL’s young scientists can focus on pursuing lifesaving, world-changing research. Read the story »

News
Independent nonprofit openRxiv launches to secure the long-term sustainability of biomedical research–sharing platforms bioRxiv and medRxiv. Read the story »

News
Guin, an M.D.-Ph.D. candidate in the Janowitz lab, will serve a three-year term on the student-led organization’s Executive Committee. Read the story »

News
Landmark study carves a path for plant breeders to improve crops across the globe and expand the variety of produce available in grocery stores. Read the story »

News
The National Academy of Sciences selects CSHL Assistant Professor Ararkup Banerjee to participate in its annual Kavli Frontiers of Science Symposium. Read the story »

News
CSHL volunteer Ishana Chadha and Partners for the Future participant Keita Takahashi are among the top student scientists in the U.S. Read the story »

Cold Spring Harbor Laboratory neuroscientist Gabrielle Pouchelon puts a new spin on an age-old question during our first public science talk of 2025. Watch the video »

News
Assistant Professor Camila dos Santos and her colleagues in the CSHL Cancer Center thank the local family business for their continuing support. Read the story »

News
The Don Monti Memorial Research Foundation’s donation supports the Zhang lab’s ongoing research on several variants of the deadly blood cancer. Read the story »

News
CSHL’s Jason Williams joins a distinguished group of recipients honored for advancing science through teaching, mentoring, and public outreach. Read the story »

News
CSHL Professor Zachary Lippman and postdoc Amy Lanctot have discovered how similar fragments of DNA control flowering in distantly related plants. Read the story »

Cold Spring Harbor Laboratory Professors John Moses and Hiro Furukawa speak at the CSHL Association’s 2025 Annual Meeting. Watch the video »

News
CSHL Professor Hiro Furukawa proves the existence of a mysterious brain receptor known as GluN1-2B-2D and shows how it may interact with ketamine. Read the story »

News
CSHL postdoc’s experimental short film honors the legacy of Barbara McClintock, a continuing source of inspiration for women and girls in science. Read the story »

News
New NIH Guidance will severely reduce funding for research. Supporting science is an investment in our nation’s health, security, and economy. Read the story »

News
A night of remembrance, a generous donation, and another step closer to a cancer-free world. Read the story »

News
Cold Spring Harbor Laboratory Professors Thomas Gingeras and Rob Martienssen have launched a new genomic encyclopedia called MaizeCODE. Read the story »

Feature
Former Cold Spring Harbor Laboratory scientist Richard Roberts won the Nobel Prize in 1993. Here, he recalls the “failure” that made him famous. Read the story »

Blog
That’s no moon! So what is it really? Read on to find out. Read the story »

News
CSHL Professor Florin Albeanu and postdoc Diego Hernandez Trejo have found a feedback loop in the brain that may help us make sense of new sensations. Read the story »

News
As a physician-scientist at CSHL, Tobias Janowitz has led early-phase clinical trials to develop therapeutic strategies for patients with cancer. Read the story »

Feature
The acclaimed science journal, published by CSHL Press, has named molecular biologist Andrew Dillin as its new editor-in-chief. Read the story »

News
Cold Spring Harbor Laboratory’s sustainability initiatives reduce the institution’s operational costs while empowering high-tech research. Read the story »

It’s a question that only you and your doctor can answer. Research from CSHL’s Peter Westcott may explain why it does or doesn’t work in some cases. Watch the video »

The popular CSHL event series returns to Industry Lounge on January 30, 2025. In the meantime, check out some highlights from last year’s talks. Watch the video »

Feature
In 1991, then-CSHL Investigator David Beach and future CSHL Trustee Charles Sherr made a serendipitous discovery. They’d each isolated the same gene. Read the story »

Take this helpful quiz to find out about CSHL’s latest cutting-edge prostate cancer research. Take the quiz »

New research from CSHL Professor Lloyd Trotman offers men of all ages a look inside the possible future of prostate cancer treatment and prevention. Watch the video »

News
A new discovery from CSHL’s Shea lab helps explain how the brain processes multisensory information. It may have big implications for autism research. Read the story »

News
Research from new CSHL Assistant Professor Katherine Alexander suggests that nuclear speckles could influence kidney cancer patient outcomes. Read the story »

Zoom in on the Nobel Prize-winning technology students in CSHL’s Cryo-EM Course use to study the structure and function of cells. Watch the video »

News
His family’s name will forever be synonymous with public science education thanks to their transformational support of CSHL’s DNA Learning Center. Read the story »

Blog
A lightly used Firehouse was one of the best gifts the Laboratory received in 1930. The only problem? It was on the wrong side of the harbor. Read the story »

Eight teams entered the season on equal footing. Now, only two remain. But there can be only one champion. Press play to watch it all unfold. Watch the video »

CSHL Professor Christopher Vakoc shares his research with a standing-room-only crowd at Industry bar in Huntington, NY. Watch the video »

A panel discussion featuring CSHL Associate Professor Camila dos Santos and three clinical professionals specializing in women’s health. Watch the video »

News
How does the body separate “self” from “nonself?” CSHL Professor Rob Martienssen uncovers fascinating new leads in plant pollen and mouse sperm. Read the story »

News
Watch the 2023 Nobel laureate speak about her life’s work with acclaimed popular science author Carl Zimmer. Read the story »

She created the blueprint for mRNA vaccines. This year, Cold Spring Harbor Laboratory recognized her groundbreaking research and pioneering spirit. Watch the video »

Feature
The CSHL School of Biological Sciences opened in 1999. Today, its graduates have become leaders in research, academia, and industry. Here’s how. Read the story »

News
The computational biologist teams with CSHL’s Hannah Meyer to explore how the immune system solves problems also common in AI. Read the story »

The Doctoroffs lead Target ALS, an innovative nonprofit that has sparked dramatic progress in research on Lou Gehrig’s disease. Watch the video »

News
Stunning new images from CSHL’s Joshua-Tor lab reveal how the protein complex interacts with differently shaped primary microRNAs. Read the story »

Blog
These hopping amphibians aren’t the only animals that call the pond home. It’s a living snapshot of our area’s diverse ecosystem. Read the story »

News
How do innate abilities get passed down? Cold Spring Harbor neuroscientists have devised a solution that could lead to faster artificial intelligence. Read the story »

News
The affiliation was announced during a historic event at the Nasdaq stock market, highlighting the importance of cancer research. Read the story »

Bat genes may hold the keys to aging, immunity, and cancer. Find out how, as we relive a special Halloween night event with CSHL’s Dick McCombie. Watch the video »

Feature
“The opportunity to turn curiosity into discoveries that impact the human condition is at the core of CSHL’s mission,” writes President Stillman. Read the story »

News
Cold Spring Harbor Laboratory’s annual gala honors Target ALS leaders Alisa and Daniel Doctoroff and Nobel laureate Dr. Katalin Karikó. Read the story »

Ten teams brave cool harbor waters, the hot August sun, and new boat-building rules in the 9th annual CSHL Raft Race. Watch the video »

Feature
A look back on the remarkable history of the group that helped turn Cold Spring Harbor, NY, into a leading destination for breakthrough bioscience. Read the story »

News
CSHL Professor Christopher Vakoc and postdoc Olaf Klingbeil have found a potential drug target for some of the most common and deadly cancers. Read the story »

The latest chapter in a decades-long rivalry unfolds, and a beloved Hammerhead shark returns. Watch the video »

News
The federally funded initiative will train undergraduate teachers in disease-tracking techniques that could help prevent future pandemics. Read the story »

Blog
These buildings have weathered oceans of time to be here. Pull back the veil and cross over into CSHL’s storied past for a closer look. Read the story »

This season’s final Research Rewind brings us from the realm of quantitative biology to neuroscience, genomics, and beyond. Listen to the podcast »

News
A 6,500-square-foot research and education facility is housed in the Passaic County Technical Institute’s John Currie Biotechnology Innovation Center. Read the story »

News
The finding from CSHL Professor Lloyd Trotman and his team sets the stage for pilot studies in human prostate cancer patients. Read the story »

See Cold Spring Harbor Laboratory’s DNA Learning Center turn a crowd of bar patrons into citizen scientists. Watch the video »

It’s the code for all life on Earth. This week At the Lab, we’re hacking it with the help of Cold Spring Harbor Laboratory’s geneticists. Listen to the podcast »

News
CSHL Professor Hiro Furukawa sheds new light on anti-NMDAR encephalitis, a rare autoimmune disorder that may be misdiagnosed as schizophrenia. Read the story »

News
Innovators and thought leaders in the fields of artificial intelligence and neuroscience came together for a meeting at Cold Spring Harbor Laboratory. Read the story »

What do you think? How do you know? And who are you anyway? We probe each of these questions with the help of Cold Spring Harbor’s neuroscientists. Listen to the podcast »

Feature
The brain relies on cells called OPCs to refine neural connections. CSHL’s Lucas Cheadle can now look at these synapse pruners in a whole new light. Read the story »

News
A pioneer in the burgeoning field of RNA therapeutics, Krainer has now received America’s second-highest prize in medicine. Read the story »

As the first season of our new podcast winds down, we’re revisiting all of our episodes with a focus on CSHL’s cutting-edge cancer research. Listen to the podcast »

News
Irene Sanchez Martin’s research on prenatal inflammation’s role in autism is showcased at the Society for Neuroscience’s annual meeting. Read the story »

News
CSHL’s Rob Martienssen and his team discovered how plants like Arabidopsis continue to reproduce even when things go wrong in chromosome division. Read the story »

For our Season 1 finale, we invite you to step inside EN-TEx, a catalog of more than one million genomic variants. Listen to the podcast »

Feature
Working at the intersection of neuroscience and computer science, CSHL researchers aim to build AI that will benefit everyone, not just the lucky few. Read the story »

Blog
Colorful native flowers, courtesy of the Lab’s grounds crew and horticulturalists, attract both pollinators and people to CSHL’s seawall each day. Read the story »

News
CSHL Professor Adam Siepel and postdoc Armin Scheben use genetic barcodes to map how prostate cancer spreads. Read the story »

News
CSHL’s Hannah Meyer shows innate-like T cells mature differently in humans and mice. Her discovery could improve preclinical immunotherapy studies. Read the story »

Cold Spring Harbor Laboratory solves a plant biology mystery some 4,000 years in the making. The implications may go far beyond vegetables. Listen to the podcast »

News
Shushan Toneyan won the award for her thesis research in CSHL’s Koo lab. Toneyan is the co-creator of CREME, an AI-powered virtual laboratory. Read the story »

Hungry? How do you know? To answer questions like this, CSHL’s Jeremy Borniger taps into the circuits controlling brain-body communication. Watch the video »

CSHL Professor Alea Mills compares the deadly brain cancer glioblastoma to a car with its brakes cut. Her lab works to reattach them. Listen to the podcast »

News
CREME, the latest AI toolkit from CSHL, is a virtual laboratory that may help scientists find new therapeutic targets in the genome. Read the story »

News
The Robert David Lion Gardiner Foundation establishes the Robert David Lion Gardiner Chair of Library & Archives at Cold Spring Harbor Laboratory. Read the story »

News
Several Cold Spring Harbor Laboratory faculty members received national mainstream media attention in 2024. Read the story »

Victoria Gray, the first person ever cured of sickle cell, appeared on a DNA Learning Center panel featuring a clinical scientist from CSHL. Listen to the podcast »

Victoria Gray was the first person cured of sickle cell disease with CRISPR gene-editing technology. Today, she shares her story. Watch the video »

After 10 years, CSHL has made a breakthrough in the study of RMS, a rare pediatric cancer. How we got here is a story of innovation and perseverance. Listen to the podcast »

News
CSHL’s Saket Navlakha has devised a new computer algorithm that could have many popular real-world applications. His inspiration: the nervous system. Read the story »

Blog
At 11 feet tall, this eye-catching artwork in CSHL’s Grace Auditorium is hard to miss. But what is it? Read the story »

News
CSHL Assistant Professor Michael Lukey has identified a source of breast cancer’s backup food supplies—and a way to block access. Read the story »

What makes you, you? CSHL Assistant Professor Gabrielle Pouchelon looks for answers in the brain’s earliest neural connections. Listen to the podcast »

News
CSHL scientists have found that folinic acid makes immunotherapy therapy more effective against pancreatic ductal adenocarcinoma in mice. Read the story »

How can a tiny tumor, often no larger than a penny, have such a big impact? CSHL’s Tobias Janowitz unpacks a complicated but highly relatable issue. Watch the video »

CSHL Professor Bo Li set out to study a tiny group of neurons involved in cancer cachexia. What he found astounded even him. Listen to the podcast »

Get up close and personal with the exotic amphibian helping students in CSHL’s Xenopus course study how life begins and operates. Watch the video »

Feature
CSHL’s meanest plant may help the Lippman lab tame prickly indigenous crops like Australia’s desert raisin. Read the story »

How are sex differences defined in the brain? CSHL Associate Professor Jessica Tollkuhn delivers a thought-provoking primer on a fascinating topic. Listen to the podcast »

News
Scientists, artists, and other luminaries came together for a summer festival celebrating CSHL’s Celia & Wally Gilbert Artist-in-Residence Program. Read the story »

News
CSHL researchers have discovered a biological mechanism that may explain how corn spread so rapidly across the Americas 4,000 years ago. Read the story »

A sobering conversation on a breakthrough discovery with potentially significant implications for cancer patients everywhere. Listen to the podcast »

News
Her team will explore mysterious cellular structures known as nuclear speckles and their role in diseases such as cancer. Read the story »

News
CSHL biologists have found a way to remove prickles from plants genetically. Their discovery could change the way we think about evolution in general. Read the story »

News
CSHL Professor Hiro Furukawa has figured out how the NMDAR performs a key step in the brain’s cognitive dance. Read the story »

Tune in to this week’s podcast to hear about the latest artificial intelligence model coming out of Cold Spring Harbor Laboratory. Listen to the podcast »

Blog
The Aurora Borealis? At this time of year? In this part of the country? CSHL’s Arka Banerjee was on the scene to capture the dazzling display. Read the story »

Shriek if you must. Their remarkable genome might provide new insights into natural links between the immune system, aging, and cancer resistance. Listen to the podcast »

Feature
Oscar Riddle identified the hormone behind lactation in 1933. The discovery at CSHL continues to inspire research on women’s health and breast cancer. Read the story »

Humans have asked this question since the dawn of civilization. Today, we have the answer. Find out about this and more from CSHL’s Corina Amor Vegas. Watch the video »

News
CSHL’s DNA Learning Center and collaborators traveled cross-country to show educators the power of portable DNA sequencing. Read the story »

Can AI help us identify the Don Juan of fruit flies? CSHL’s Benjamin Cowley thinks so. Why would we want to do this? Tune in to find out. Listen to the podcast »

Feature
An angry peacock is no joke. Like the colorful bird and its tall tail feathers, cancer biology can make for some eye-catching images. Read the story »

Rockefeller University geneticist Jeffrey Friedman speaks about obesity’s causes and treatments at CSHL’s Brain-Body Physiology Symposium. Watch the video »

News
Thought leaders from around the world came together at CSHL to share and discuss the latest research in brain-body physiology. Read the story »

You might not realize, but that question is central to the human experience. On this week’s podcast, CSHL’s Saket Navlakha sniffs out answers. Listen to the podcast »

News
Professor Bo Li and a team of collaborators from four CSHL labs have discovered a new potential drug target for the lethal wasting disease. Read the story »

News
It was another record-breaker for the summer fundraiser, which this year honored Paul Paternoster, a longtime supporter of sarcoma research. Read the story »

For this week’s podcast, CSHL Professor John Moses bridges the gap between chemistry and biology in less than three minutes. Listen to the podcast »

News
Short-lived neural connections in the mouse brain can have long-lasting effects on how the animal senses and interacts with the world. Read the story »

News
Join us July 13 at 1 p.m. for “Students Talk Science” with Victoria Gray, the first patient treated using CRISPR gene-editing technology. Read the story »

News
CSHL was excited to partner with Boy Scouts Troop 32 to help a young community member interested in science complete his Eagle Scout project. Read the story »

In this week’s podcast, CSHL Assistant Professor Semir Beyaz reveals how metastatic breast cancer ‘corrupts’ the body’s immune system. Listen to the podcast »

CSHL Trustee Bruce Ratner discusses his new book during a fireside chat with Professor and Cancer Center Director David Tuveson. Watch the video »

News
CSHL’s Koo and Kinney labs have built a tool to suss out how AI analyzes the genome. What sets it apart? Decades of quantitative genetics knowledge. Read the story »

News
CSHL NeuroAI Scholar Kyle Daruwalla has created an AI neural network that can retain and recall knowledge much like we do. Read the story »

News
New study from CSHL Professor Christopher Vakoc and former postdoc Diogo Maia-Silva shows how basal-like cancer cells lose their original identity. Read the story »

Blog
You’ve heard about Barbara McClintock’s Nobel Prize-winning research on corn genetics, but what about the corn itself? Read the story »

The latest installment in our public science talk series fell right between Mother’s Day and Father’s Day. CSHL’s Stephen Shea took it from there. Watch the video »

News
CSHL Professor John Moses returned to his hometown of Wrexham, Wales, where he was recognized for his contributions to science. Read the story »

What is neuroAI, and how does it help both neuroscientists and computer scientists? In this week’s podcast, CSHL’s Kyle Daruwalla explains. Listen to the podcast »

News
RNA therapeutics pioneer CSHL Professor Adrian Krainer has discovered a link between two important regulator proteins, SRSF1 and DDX23. Read the story »

News
Many popular technologies used in biology and medicine have froggy origins, and this CSHL course has helped keep the field hopping. Read the story »

“You wouldn’t start making the fingernails on an arm until you had started to make the arm,” says CSHL’s Christopher Hammell. How’s that for a visual? Listen to the podcast »

News
CSHL Professor Anthony Zador’s powerful brain-mapping tool has received a major upgrade. Instead of thousands of neurons, it can now map millions. Read the story »

Blog
Like the Chinese maple outside Blackford Hall, the roots of CSHL’s broad intellectual family tree run deep. Read the story »

Feature
CSHL President & CEO Bruce Stillman discusses our institution’s societal impacts and global connections as forces for further scientific progress. Read the story »

We put the ‘mice’ in ‘maestro,’ with singing lessons from Cold Spring Harbor Laboratory neuroscientist Arkarup Banerjee. Listen to the podcast »

News
CSHL’s Benjamin Cowley trained an artificial intelligence model to predict how real-life fruit flies will act in response to specific visual stimuli. Read the story »

How did some birds get such distinct colors? CSHL Professor Adam Siepel joins us for a journey across evolution’s “islands of differentiation.” Listen to the podcast »

CSHL Assistant Professor Lucas Cheadle invites you to listen in to the ongoing conversation between your immune system and your brain. Watch the video »

Feature
CSHL research on autism involves massive databases with thousands of genomes. Meet a few of the brave individuals who help make this work possible. Read the story »

CSHL is no stranger to successful female scientists. Today, we remember the life of Martha Chase, famously known for the Hershey-Chase experiment. Listen to the podcast »

CSHL faculty, students, and staff came together to witness one of the most breathtaking celestial events of our lifetime—a total solar eclipse. Watch the video »

News
We are saddened to share the passing of Jim Simons, a CSHL Honorary Trustee and one of our institution’s most significant supporters and donors. Read the story »

Join New York Governor Kathy Hochul and CSHL President & CEO Bruce Stillman for an aerial tour of CSHL’s Foundations for the Future expansion project. Watch the video »

News
The funding will help pay for a new pancreatic cancer center—part of CSHL’s Foundations for the Future project. Read the story »

News
The CSHL School of Biological Sciences conferred 11 Ph.D.s and one honorary Doctor of Science degree during its 21st commencement ceremony. Read the story »

Happy almost Mother’s Day! What drives a supermom to come to the rescue when her child is upset? CSHL’s Stephen Shea shares the biological backstory. Listen to the podcast »

News
Community leaders from across New York came together in Brooklyn to celebrate CSHL’s achievements in making STEM education accessible for all. Read the story »

Community leaders from across New York came together in Brooklyn to celebrate CSHL’s achievements in making STEM education accessible for all. Watch the video »

Feature
The CSHL School of Biological Sciences awarded its honorary Doctor of Science degree to neuroscientist and geneticist Cori Bargmann Ph.D. Read the story »

Feature
The School of Biological Sciences awarded Ph.D. degrees to 11 students this year. Here are some stories and reflections from their time at CSHL. Read the story »

News
CSHL breast cancer researchers, led by Associate Professor Camila dos Santos, made a surprise discovery while investigating urinary tract infections. Read the story »

A 500-year-old mystery stumbled on by Leonardo da Vinci has been solved using modern clinical data. Meet the CSHL scientist at the heart of it all. Listen to the podcast »

News
Historic agreement aims to translate basic bioscience into a clinical setting, providing cancer patients greater access to personalized healthcare. Read the story »

Blog
The Italian-style bell tower anchors CSHL’s Neuroscience Center. Its bell has rung out every hour on the hour, from 8 a.m. to 8 p.m., since 1991. Read the story »

News
The new assistant professor will study how our brains navigate a continuously changing sensory environment: His goal: build more sensible AI. Read the story »

News
CSHL Cancer Center Director and Professor David Tuveson joins an elite membership roster whose historic ranks include names like Darwin and Einstein. Read the story »

CSHL Dolan DNA Learning Center’s Jason Williams teaches us about a portable DNA sequencer that may turn the tide for genetics education. Listen to the podcast »

Feature
In 1929, Ruth Patrick came to CSHL to study plant life. She’d meet her future husband here and go on to pioneer an entirely new field of biology. Read the story »

CSHL Assistant Professor Benjamin Cowley takes us inside the mind’s eye, using an AI model of this tiny insect’s brain. Watch the video »

News
Javadzadeh is the newest Cold Spring Harbor Laboratory fellow. Her lab studies how the brain processes visual information. Read the story »

It’s Autism Awareness Month! CSHL Professor Ivan Iossofiv shares what researchers know about autism so far and how they plan to uncover its origins. Listen to the podcast »

News
“The Future of Click Chemistry” brought together two-time Nobelist K. Barry Sharpless with his former apprentices John Moses and David Tuveson. Read the story »

News
CSHL’s Cryo-Electron Microscopy course teaches the next generation of scientists to study life at the atomic level. Read the story »

CSHL neuroscientist Hiro Furukawa shows us a part of the brain that actually works like a puppet master. What could this mean for mental health? Listen to the podcast »

News
CSHL plant scientists taught kids the basics of plant biology and its role in the environment at an event hosted by First Lady Jill Biden. Read the story »

News
CSHL Professor John Moses premieres an expansive line of new click chemistry products, uncovering leads for better antibiotics and cancer drugs. Read the story »

News
Climate change threatens crops with acidic soils and aluminum toxicity. Gingeras leads an international team tackling this problem head-on. Read the story »

In the premiere episode of At the Lab, we visit CSHL Professor & HHMI Investigator Zachary Lippman to glimpse the future of food and farming. Listen to the podcast »

Blog
Jones is CSHL’s oldest building. Since 1893, its exterior has remained virtually unchanged. Inside is a different story. Read the story »

Feature
That’s not the Starship Enterprise burning up in space. It’s an up-close look at precancerous pancreatic lesions and the mucus they produce. Read the story »

Feature
CSHL played a lead role in mapping the first plant genome. Today, that breakthrough fuels a whole new understanding of life on Earth. Read the story »

News
CSHL researchers have developed a new data-driven approach that cancer centers may use to expand patient recruitment efforts. Read the story »

CSHL research has yielded insights into a number of women’s health topics, from menopause to breast cancer. Take this quiz to see how far we’ve come. Take the quiz »

News
A partnership between CSHL and the Penny’s Flight Foundation aims to find a cure for NF1, the world’s most common single-gene neurological disorder. Read the story »

News
CSHL Postdoctoral Fellow Simón(e) Sun has co-authored an article titled “Rigorous Science Demands Support of Transgender Scientists.” Read the story »

What is CSHL’s John Moses doing with that glowing liquid? Watch our expert chemist get a reaction from the crowd at Industry bar in Huntington, NY. Watch the video »

News
March 26: CSHL neuroscientist Arkarup Banerjee discusses “Mysteries of Language & Communication” at a special screening of sci-fi blockbuster Arrival. Read the story »

Feature
CSHL’s Camila dos Santos and Jessica Tollkuhn offer empowering insights into breast cancer prevention, pregnancy, menopause, and hormone therapy. Read the story »

News
CSHL’s Justin Kinney and Spinraza inventor Adrian Krainer tested the newly approved SMA treatment, risdiplam, and another RNA therapeutic, branaplam. Read the story »

News
CSHL plant biologists have stumbled on a peculiar case involving a gene that’s key for controlling growth in tomatoes and other crops. Read the story »

News
Mucus is not just snot. CSHL scientists have discovered some pancreatic cancer cells depend on it. The finding may open a new therapeutic avenue. Read the story »

This question lies at the heart of a new interdisciplinary collaboration between CSHL’s Camila dos Santos and Peter Koo. Watch the video »

News
CSHL researchers have discovered a new link between chronic stress and cancer metastasis, providing a possible path forward for new treatments. Read the story »

Blog
It’s not a sea creature. It’s in your brain. For over 20 years, this sculpture has inspired cutting-edge neuroscience research at CSHL. Read the story »

News
A tiny protein sequence with the potential to unlock new therapies against autoimmune diseases has been hiding in plain sight— until now. Read the story »

CSHL’s series of fun, interactive science talks returns to Industry bar in Huntington, NY, with a demonstration of today’s DNA sequencing technology. Watch the video »

News
CSHL researchers have found that EN-1, a protein involved in neurodevelopment, can help pancreatic cancer spread throughout the body. Read the story »

News
The CSHL DNA Learning Center’s LEGO DNA sequencer makes learning about the genome fun and easy for students of all ages, even kindergarteners. Read the story »

Feature
Former CSHL Fellow Carol Greider’s Nobel-winning research has led to new cancer treatments. Now, it’s helping us unravel the mysteries of aging. Read the story »

News
The Christina Renna Foundation’s generous gift supports Professor Christopher Vakoc’s pioneering sarcoma research. Read the story »

News
Griffin Hon, a senior at Syosset High School, studied bowel disease alongside CSHL Assistant Professor Semir Beyaz using single-cell sequencing. Read the story »

Feature
Researchers at the CSHL Cancer Center study the links between disease and nutrition in hopes of uncovering new treatment and prevention strategies. Read the story »

News
How does the brain govern communication? It’s all about timing. CSHL investigates with the help of a “musical” mouse from Costa Rica. Read the story »

Want to know the secret to a long life? So do CSHL scientists. Take this short quiz to see what they’ve found out about aging and longevity. Take the quiz »

Blog
There’s been a surge of bald eagle sightings on campus. CSHL’s Vlad Drozdoff brings us an amazing close-up look at these birds in action. Read the story »

News
CSHL's Corina Amor Vegas discovers that CAR T cells can act as a “living” drug, causing young mice to age more slowly and old mice to rejuvenate. Read the story »

Feature
Everyone is “wired” differently. CSHL Associate Professor Jessica Tollkuhn maps the genes sex hormones use to shape developing brains. Read the story »

Feature
One cancer gene, one cancer genome, two Cold Spring Harbor Laboratory discoveries that helped shape the face of modern cancer medicine. Read the story »

After a four-year hiatus, Cocktails & Chromosomes returned in 2023. Relive the past year’s best moments and see what’s in store for 2024. Watch the video »

Feature
How Cold Spring Harbor Laboratory’s research on penicillin in the 1940s helped the U.S. win World War II and changed medicine forever. Read the story »

News
A recent workshop at the CSHL Library & Archives shed light on the interwoven histories of the Laboratory, Long Island, NY, and the greater U.S. Read the story »

Feature
In 2023, Cold Spring Harbor Laboratory revenues achieved their second highest level ever. Read the story »
Try these search tips: